PERFECT RESULT, SPECTACULAR ADJUSTMENTS AND FINAL CEMENTATION IN 24 HOURS WITH BICORTICAL IMPLANTS
This is an interesting case where the Debate is open, are so many implants necessary? .
This patient, diabetic, hypertensive, has had a complete prosthesis (full denture) for more than 20 years. She had. Conventional implant surgery with result of all failed implants in top arch. She was literally desperate due to the high mobility and imbalances of the prostheses she had made. She was discouraged from permanent rehabilitation by several colleagues because “she had no bone.”

.” Corticobasal Implants 3.5mm coil or even 4.5mm implants fit almost anywhere.

The more support points and the smaller the distance between abutments the more stability of the whole. Less chances of overload and fractures of the supra structures.
Probably, but if the case requires 12 and they have a sufficient interim distance, they can be inserted with just one drill and have great primary stability, for me it is the best choice.
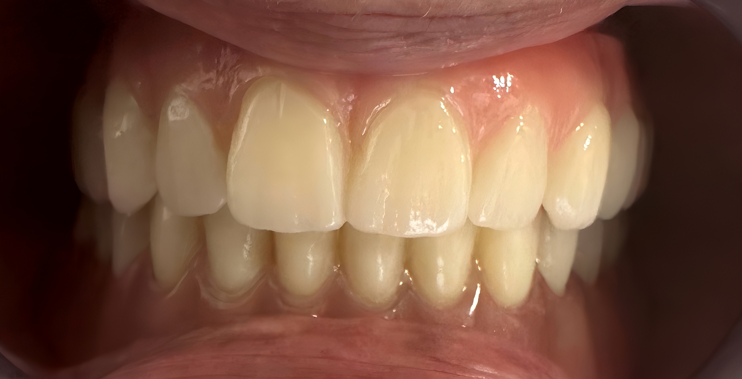
The patient had a relatively knife edge and the Implants were inserted mostly from palatal angle, an advantage of these implants that having the initial emergence of 2.25mm of Diameter high aesthetics can be achieved that way without removing soft tissue.
MOT Monoimplants Switzerland 🇨🇭

We did digital pre-planning, basic for all my full arch treatments Bicortical implants in a quick 20/30 minute surgery, laser to refine gingival emergencies, intraoral scanner and my technical team Fer Griffon Dtg did its magic.

This is a monolithic Composite material with ceramic, milled on a 7-axis milling machine, plus hand characterization by the artist.

As evidenced by the images that you can see in detail on our YouTube channel.