TRATAMIENTOS
ODONTOLOGÍA GENERAL y ESTÉTICA
El día a día de nuestra profesión. La Odontología General es parte fundamental de la salud del paciente.
ORTODONCIA
La Ortodoncia es la rama de la Odontología que trata las malposiciones dentales. Comúnmente sirve para alinear los dientes, aunque lo que se hace es mucho más.
CIRUGÍA ORAL
Los dientes de leche (o deciduos) se cambian por los definitivos entre los 6 y 12 años, pero por problemas de espacio...
ENDODONCIA
La pulpa dental (o nervio comúnmente dicho) es el tejido que se encuentra en el interior de los dientes...
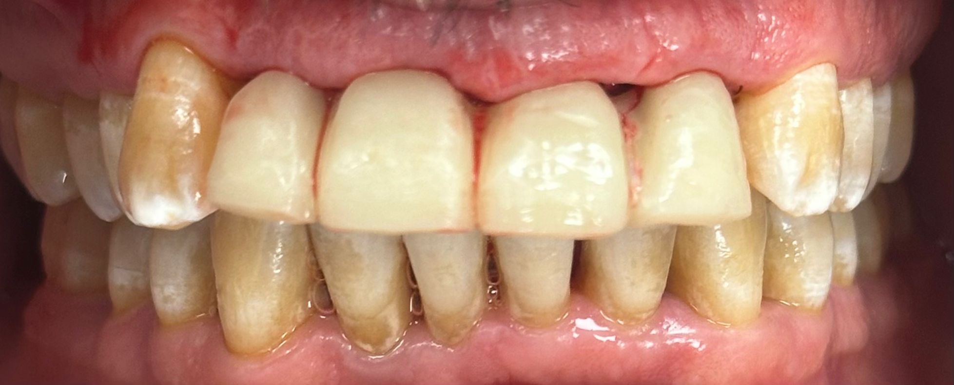
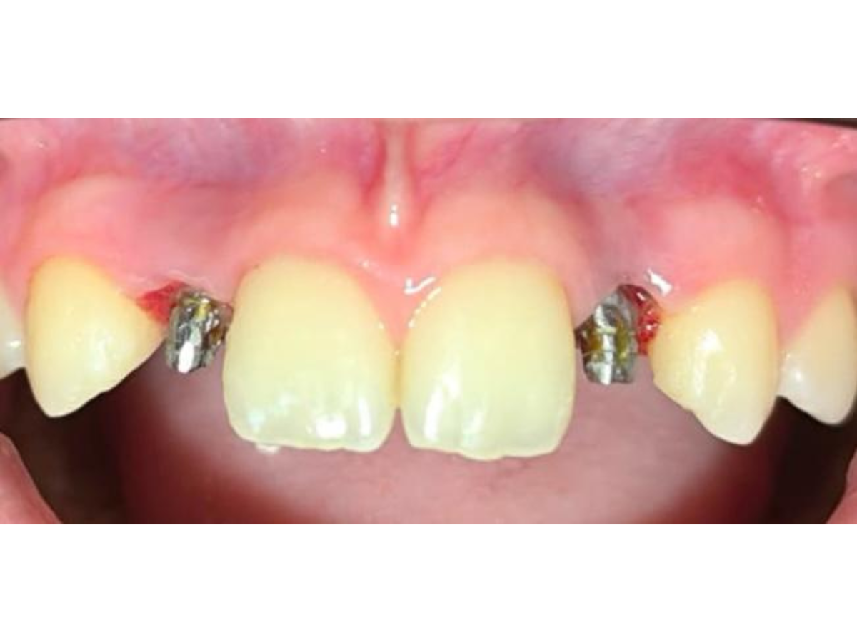
PRÓTESIS FIJA Y REMOVIBLE
Son tratamientos para reponer las piezas dentales ausentes con el fin de mejorar la masticación, el habla y la estética.
ODONTOPEDIATRÍA
La clinica Dental Dr Dario Castro ha firmado recientemente un convenio con el Servicio Canario de Salud, con el fin ...
PERIODONCIA
La Periodoncia es la rama de la odontología que trata los problemas de origen infeccioso y de tipo estético de los tejidos que soportan los dientes.
La Clínica
El Dr Dario Castro y su equipo les dan la bienvenida a su Clínica Dental de Las Palmas de Gran Canaria.
Un centro en el que las últimas tecnologías van a la par con tratamientos Orofaciales de vanguardia, en un ambiente relajante y profesional.
La clínica dental, posee todo el equipamiento necesario para proporcionar una atencion dental integral de calidad, a un precio justo.

EQUIPO
Dr. Darío Castro
Director Médico
Especialista en Cirugía Oral e Implantología, Endodoncia y Ortodoncia. COELP 755UN CAMBIO DE VIDA REAL….DE ESCONDER LA SONRISA…A COMER CON SEGURIDAD EN SOLO UNAS HORAS…
Cuando una persona pasa de esconder su sonrisa a recuperar función, estética y seguridad en apenas unas horas.
MÁS ALLÁ DE LOS IMPLANTES: NOS INTERESA DEVOLVER LA LUZ A TU SONRISA…
Cuando un diente "oscuro" apaga tu seguridad
A menudo pensamos que la única forma de recuperar una sonrisa perdida es a través de los implantes. Sin embargo, en la Clínica Dental Dr. Dario Castro - Dental Office, sabemos que la verdadera excelencia reside en conservar y embellecer tus propias piezas dentales, incluso en los casos más complejos.
¿NO TIENES HUESO PARA IMPLANTES..?. DESCUBRE LA SOLUCIÓN SIN INJERTOS DE LA CLÍNICA DENTAL DR. DARÍO CASTRO – DENTAL OFFICE
El miedo al "No tengo hueso".
Recibir la noticia de que te falta una pieza dental es difícil, pero escuchar que "no eres candidato a implantes porque no tienes suficiente hueso" puede ser frustrante. Durante años, la odontología convencional ha obligado a estos pacientes a someterse a largos procesos de injertos óseos, múltiples cirugías y meses de espera antes de ver un diente en su boca.
En La Clínica Dental Dr. Darío Castro - Dental Office, bajo la dirección del Dr. Dario Castro, nuestra filosofía es distinta. Creemos que la tecnología debe adaptarse al paciente, y no al revés. Hoy queremos contarte cómo resolvemos casos de falta de espacio y hueso reducido de forma simple, rápida y predecible.






