UN CAMBIO DE VIDA REAL….DE ESCONDER LA SONRISA…A COMER CON SEGURIDAD EN SOLO UNAS HORAS…
Cuando una persona pasa de esconder su sonrisa a recuperar función, estética y seguridad en apenas unas horas.
Cuando una persona pasa de esconder su sonrisa a recuperar función, estética y seguridad en apenas unas horas.
A menudo pensamos que la única forma de recuperar una sonrisa perdida es a través de los implantes. Sin embargo, en la Clínica Dental Dr. Dario Castro – Dental Office, sabemos que la verdadera excelencia reside en conservar y embellecer tus propias piezas dentales, incluso en los casos más complejos.
Recibir la noticia de que te falta una pieza dental es difícil, pero escuchar que «no eres candidato a implantes porque no tienes suficiente hueso» puede ser frustrante. Durante años, la odontología convencional ha obligado a estos pacientes a someterse a largos procesos de injertos óseos, múltiples cirugías y meses de espera antes de ver un diente en su boca.
En La Clínica Dental Dr. Darío Castro – Dental Office, bajo la dirección del Dr. Dario Castro, nuestra filosofía es distinta. Creemos que la tecnología debe adaptarse al paciente, y no al revés. Hoy queremos contarte cómo resolvemos casos de falta de espacio y hueso reducido de forma simple, rápida y predecible.
Vamos a realizar un curso en mi clínica de la mano de la casa MICRODENT.
En este caso, vamos a estar dos días intensivos en los cuales vamos a aprender todas los técnicas y todos los entresijos de la implantología no solo MONOBLOCK, sino también de la parte digital la cual pues hay una sincronía absoluta y los pacientes que tenemos preparados los van a poder operar los dentistas para percibir de mejor mano esta técnica tan sensitiva.
Os espero a todos, Dr. Darío Castro.
1. El compromiso del Dr. Darío Castro
Soy el Dr. Darío Castro y, si tuviera que definir la implantología basal en una frase, sería esta: es el arte de anclar los implantes en el hueso cortical «nativo» para devolverte la función y la estética mediante protocolos de carga inmediata. ⏱️
A diferencia de la técnica convencional —que depende del hueso alveolar, propenso a reabsorberse—, este método busca estabilidad en las zonas más densas y resistentes de la mandíbula o el maxilar. En la práctica, esto cambia las reglas del juego para quienes han escuchado el clásico: «Usted no tiene hueso para implantes»

El pasado 18 de octubre de 2025, Santa Cruz de Tenerife se convirtió en el epicentro de la implantología avanzada con la celebración del curso «Meet Oneness», organizado por Microdent System Europa / España. Una jornada dedicada a simplificar los casos complejos e integrar la Filosofía Monobloque Microdent en la práctica diaria.

Como vuestro ponente, me siento inmensamente orgulloso de haber guiado a un grupo de profesionales comprometidos con la excelencia en un encuentro que combinó magistralmente la técnica, la pasión y un aprendizaje 100% real. El curso se centró en la línea monofásica Oneness de Microdent, presentando sus características y ventajas para optimizar los resultados clínicos, además de incluir demostraciones prácticas de colocación y curvado de implantes monobloque.
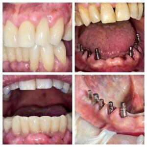
Este fue el caso de una paciente que acudió a nuestra consulta con una alta movilidad persistente en los incisivos inferiores. Durante años, se le realizaron múltiples tratamientos: desde técnicas de ferulización y procedimientos periodontales, hasta diversos intentos de preservar las piezas. Sin embargo, el problema persistía.
La incomodidad aumentaba, los defectos estéticos eran evidentes, y su calidad de vida se veía afectada. La paciente ya no estaba dispuesta a seguir sosteniendo una situación insostenible.
La solución: una intervención rápida, precisa y mínimamente invasiva.
En una sola sesión de apenas 45 minutos, llevamos a cabo:

Unas horas después, la paciente recibió su nueva sonrisa:


Este es el protocolo Teeth in a Day: restauración funcional y estética en tiempo récord, con precisión y seguridad.


🦷 Solo en Gran Canaria.
Porque la odontología del presente se basa en la previsibilidad, la tecnología y la mínima invasión.
Especialista en Cirugía Oral e Implantología, Endodoncia y Ortodoncia. COELP 755.
Otro caso más resuelto en 7 horas, de principio a fin.
🦷✨ ¡Los pacientes comentan muchas veces que no se pueden colocar implantes, que no tienen hueso, que está con mucha medicación, que no se puede hacer, que está contraindicado!
Este paciente nos vino a visitar desde la isla de Fuerteventura.