UN CAMBIO DE VIDA REAL….DE ESCONDER LA SONRISA…A COMER CON SEGURIDAD EN SOLO UNAS HORAS…
Cuando una persona pasa de esconder su sonrisa a recuperar función, estética y seguridad en apenas unas horas.


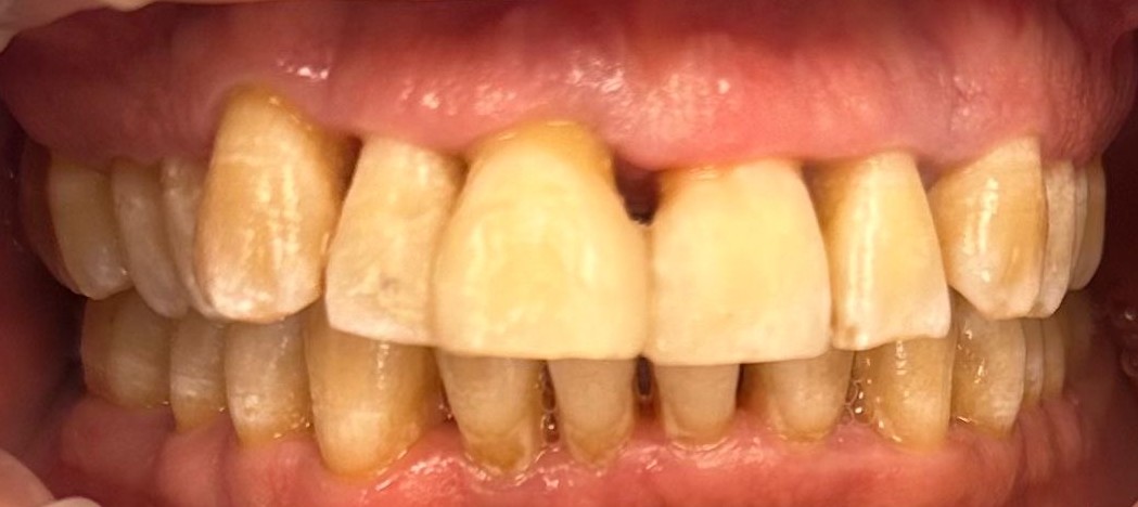
Este caso es muy típico en pacientes con enfermedad periodontal avanzada y sobrecarga funcional: comienzan notando una ligera movilidad en los dientes y, de repente, esa movilidad se vuelve generalizada, especialmente en los incisivos superiores. Ahí es cuando empiezan los problemas estéticos, la inseguridad al sonreír y la dificultad real para comer.


Este paciente acudió a mi consulta referido por otros pacientes, con un estado periodontal comprometido, una sobrecarga funcional muy marcada y una movilidad severa de los incisivos superiores. Era un paciente con gran fuerza masticatoria, un volumen óseo importante, pero con una calidad ósea deficiente.
En la implantología convencional, esto suele implicar múltiples extracciones, tiempos de cicatrización, prótesis removibles provisionales, injertos óseos y, finalmente, una rehabilitación fija más voluminosa, porque el espacio protésico ya no es el de unos dientes naturales.
Aquí hicimos algo diferente.
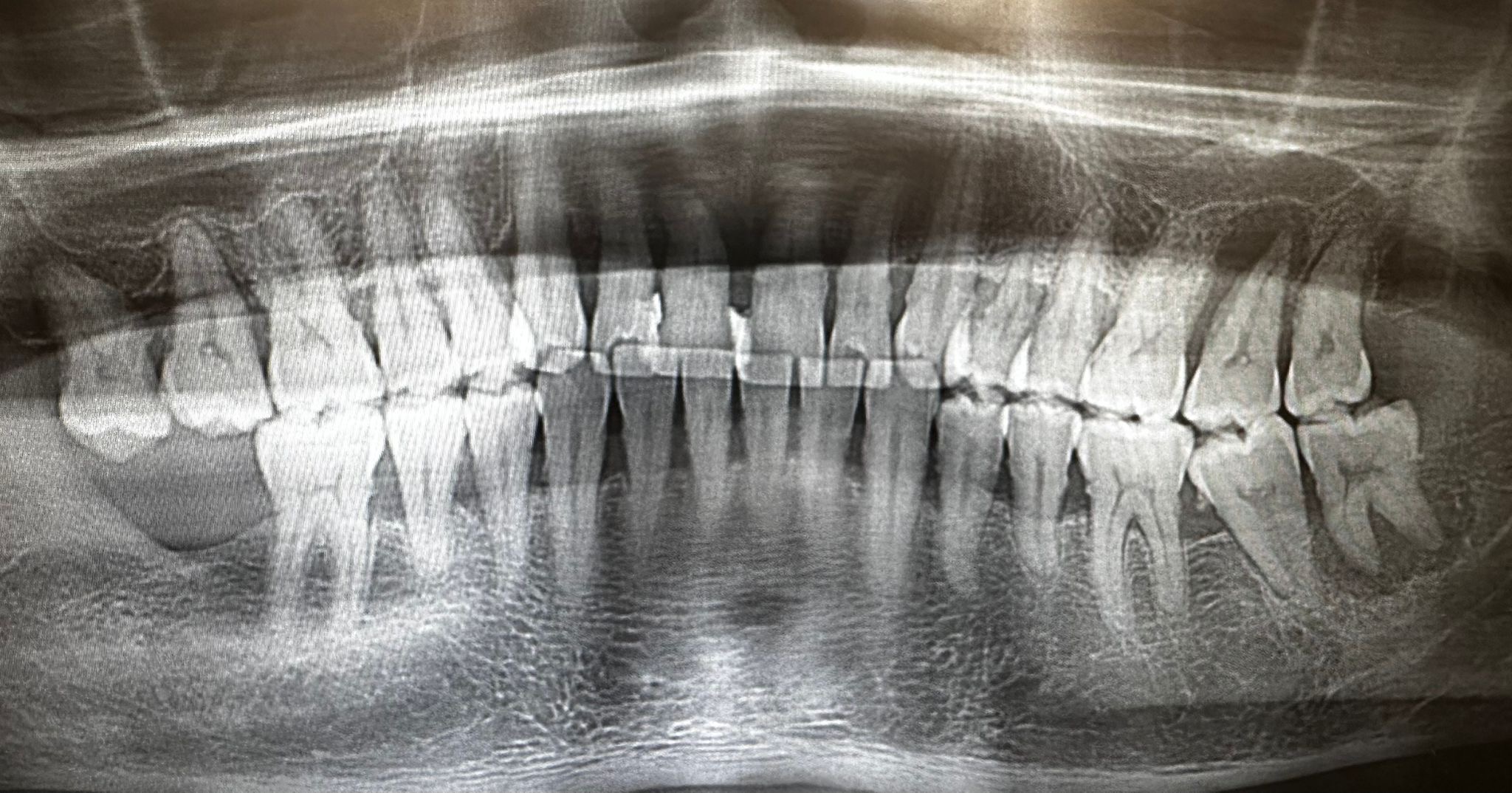
Realizamos la extracción de los cuatro incisivos superiores y, en el mismo acto quirúrgico, colocamos cuatro implantes de anclaje basal de 23 mm, buscando apoyo en el hueso cortical, el hueso más denso y estable. Además, se realizó una soldadura intraoral para rigidizar el conjunto y aportar máxima estabilidad desde el primer momento.

¿El resultado?
Para nuestro equipo clínico de la clínica dental Dr. Darío Castro – Dental Office esto supone la carga inmediata real.
«Dientes fijos desde el primer día».
Sin prótesis removible.
Sin esperas largas.
Sin perder calidad de vida durante el proceso.
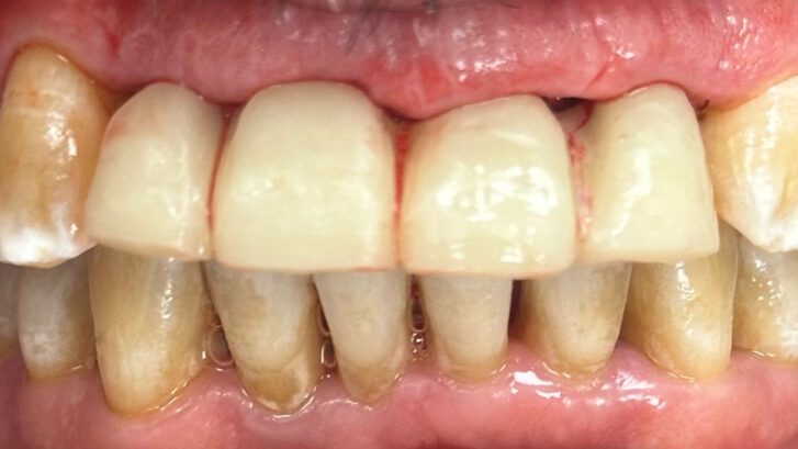
Se colocó un provisional de larga duración para controlar la evolución de los tejidos y, como suele ocurrir en este tipo de casos, el paciente refirió molestias mínimas y una mejoría inmediata en función, estética y bienestar.

Esto no es solo poner implantes.
Es cambiarle la vida a una persona en unas horas.

Especialistas en carga inmediata, implantes basales y soldadura intraoral.
Only in Gran Canaria.
Especialista en Cirugía Oral e Implantología, Endodoncia y Ortodoncia. COELP 755.