¿NO TIENES HUESO PARA IMPLANTES..?. DESCUBRE LA SOLUCIÓN SIN INJERTOS DE LA CLÍNICA DENTAL DR. DARÍO CASTRO – DENTAL OFFICE
El miedo al «No tengo hueso».
Recibir la noticia de que te falta una pieza dental es difícil, pero escuchar que «no eres candidato a implantes porque no tienes suficiente hueso» puede ser frustrante. Durante años, la odontología convencional ha obligado a estos pacientes a someterse a largos procesos de injertos óseos, múltiples cirugías y meses de espera antes de ver un diente en su boca.
En La Clínica Dental Dr. Darío Castro – Dental Office, bajo la dirección del Dr. Dario Castro, nuestra filosofía es distinta. Creemos que la tecnología debe adaptarse al paciente, y no al revés. Hoy queremos contarte cómo resolvemos casos de falta de espacio y hueso reducido de forma simple, rápida y predecible.
El reto de la Agenesia y la falta de espacio.
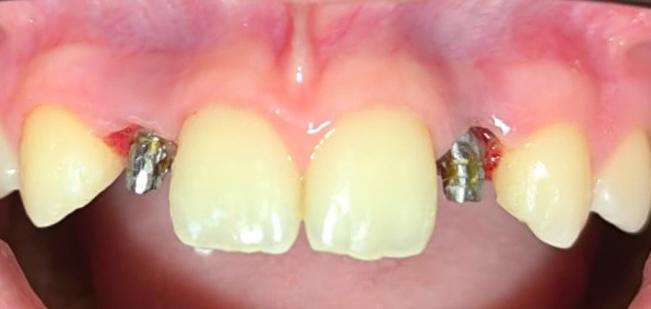
Muchos de nuestros pacientes sufren de agenesia, una condición en la que los dientes definitivos (comúnmente los laterales) nunca llegan a salir. Esto suele dejar un espacio estrecho y un hueso que, al no haber tenido nunca la raíz de un diente, es muy delgado.

¿Por qué elegir la Implantología Monobloque?.
En lugar de abrir grandes heridas para colocar hueso artificial, utilizamos implantes de última generación conocidos como monobloque. Estos implantes están diseñados específicamente para ser colocados en espacios muy reducidos, aprovechando hasta el último milímetro de tu hueso natural.

La ciencia detrás de la sonrisa.
Para nosotros, la precisión es innegociable. Antes de empezar, analizamos tu estructura ósea con tecnología de imagen avanzada. Esto nos permite ver lo que otros no ven y planificar una cirugía que apenas deja huella en tu organismo.

El mito del dolor y la inflamación.
Una de las mayores preocupaciones de nuestros pacientes en Dental Office es el postoperatorio. Gracias a que la técnica monobloque es mínimamente invasiva, podemos decir con orgullo que nuestros pacientes experimentan:
-
Cero inflamación: Al no agredir el tejido de forma masiva.
-
Mínimas molestias: La mayoría de nuestros pacientes hacen vida normal al día siguiente.
-
Rapidez: Reducimos los tiempos de tratamiento a semanas, en lugar de meses.

Resultados inmediatos y estética natural.
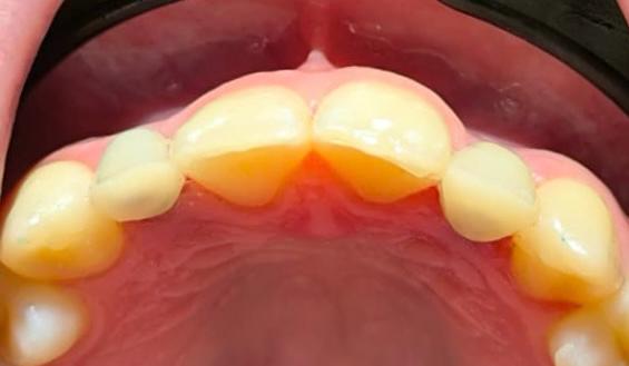
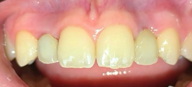
Lo que realmente nos diferencia es la carga inmediata. No queremos que salgas de nuestra clínica con un hueco en tu sonrisa. En el mismo momento de la cirugía, preparamos coronas provisionales que no solo devuelven la estética, sino que ayudan a que tu encía se cure con la forma perfecta.

Tu sonrisa, en manos expertas.
El éxito de este caso, que terminó con una paciente feliz y una sonrisa renovada, no es fruto del azar. Es el resultado de combinar la dilatada experiencia del Dr. Dario Castro con la tecnología de Microdent y una visión centrada en la comodidad del paciente.

PDTA: Si te han dicho que tu caso es difícil o que no tienes hueso suficiente, te invitamos a buscar una segunda opinión con nosotros. En Dental Office, hacemos que lo complejo parezca simple.
¿Estás listo para dar el paso? Agenda tu cita de valoración y deja que diseñemos tu nueva sonrisa.
Only in Gran Canaria. 🌴😊.
Esto es posible y lo hacemos a diario en mi clínica.
Especialista en Cirugía Oral e Implantología, Endodoncia y Ortodoncia. COELP 755.