DIFERENCIA ENTRE UN IMPLANTE BASAL Y UN IMPLANTE NORMAL..!!
Este es un caso muy explicativo y visual de las diferencias sustanciales, existentes entre un implante basal y uno normal o convencional.
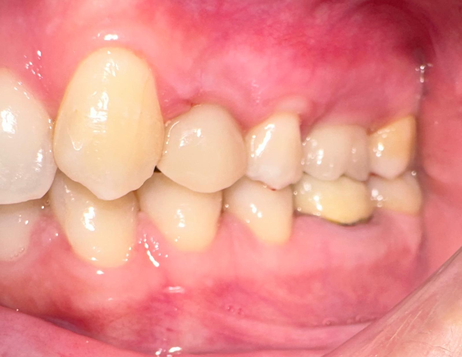
Los implantes basales buscan anclaje en zonas donde nunca se pierde hueso; es decir en el hueso basal cortical no absorbible y de alta calidad . En este caso fue un implante post extracción en una zona con mucha infección y lisis ósea.
La intervención duró menos de 30 minutos y la paciente se fue con su PROVISIONAL FIJO el día de la intervención.

Cuatro meses más tarde vemos la curación excelente de la encía y el “festón gingival”, la forma que debe tener la encía para conformar un diente mimético y duradero.


Especialista en Cirugía Oral e Implantología, Endodoncia y Ortodoncia. COELP 755.