PROTOCOLO DE CARGA INMEDIATA DEFINITIVA EN 24 H..!!
Hoy quiero dedicar este artículo a mis compañeros de profesión, que quizás les pueda servir de utilidad.
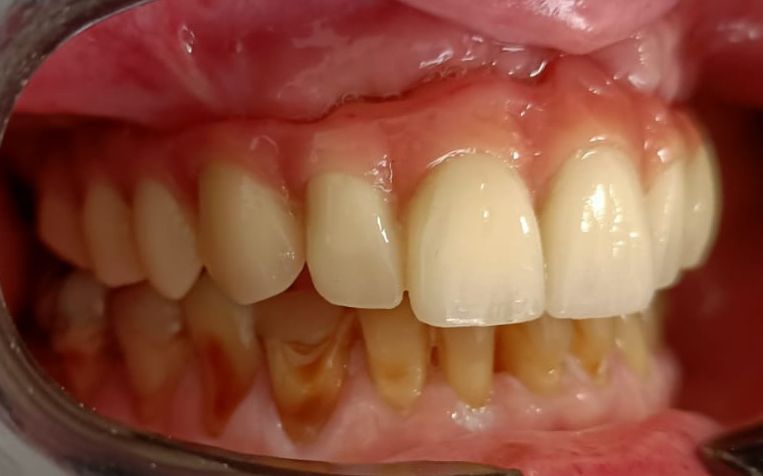
¿Qué buscáis queridos compañeros como un implante de emergencia ideal?
¿Un cuello largo y pulido?
¿Una fijación subcrestal para garantizar el sellado bacteriano?
¿Un pilar monobloque carente de micromovimientos?
¿Un pilar dinámico que tolere carga inmediata y diferida en el mismo implante ?
¿Un emergente yuxtagingival o “TISSUE LEVEL”?
¿Posibilidad de hacerlo atornillado y cementado?

¿El famoso ONE ABUTMENT ONE TIME? Eso ya lo tenemos en el Monoblock desde hace más de 60 años.
¿Un pilar para sobredentadura o incluso protesis conométrica?

¿Son demasiadas variables verdad? Llevo más de 15 años persiguiendo el implante que reúna todas esas características y hasta HOY no he encontrado nada similar. Ni Bicon, con su conexión subcrestal reúne todas esas variables antes descritas Y a las pruebas, detalles. En nuestra clínica, gracias a mi compañero de fatigas, Fer Griffon a quien no le asustan los retos, hemos creado un protocolo Full digital (también vale para full analogic o impresiones de toda la vida).





Tambíen es idóneo para todo tipo de hueso pues lo hay desde diámetro 2.7 a diámetro 6mm.
Y una última cuestión..
¿No les parece maravilloso..?
Te recomendamos que le eches un vistazo a nuestro canal de Youtube y analices nuestro vídeo ampliado sobre este caso de interés.
Especialista en Cirugía Oral e Implantología, Endodoncia y Ortodoncia. COELP 755.